मौखिक स्वास्थ्य पर तंबाकू का प्रभावः भारतीय दर्शकों के लिए एक वेक-अप कॉल

तंबाकू का सेवन पूरे भारत में एक महत्वपूर्ण स्वास्थ्य चिंता बना हुआ है, जो हर साल लाखों लोगों के जीवन को प्रभावित करता है। जबकि कई लोग फेफड़ों और हृदय रोगों से इसके संबंधों के बारे में जानते हैं, बहुत कम लोग मौखिक स्वास्थ्य पर इसके गहरे प्रभाव का एहसास करते हैं। मुँह को अक्सर समग्र कल्याण का प्रवेश द्वार माना जाता है, और तंबाकू के हानिकारक प्रभाव हमारे शरीर के इस महत्वपूर्ण हिस्से को स्पष्ट रूप से और अदृश्य रूप से नुकसान पहुंचा सकते हैं। आम भारतीय दर्शकों के लिए, इन प्रभावों को समझना न केवल व्यक्तिगत स्वास्थ्य के लिए बल्कि प्रियजनों को निवारणीय दंत समस्याओं से बचाने के लिए भी महत्वपूर्ण है। इस ब्लॉग का उद्देश्य इस बात पर प्रकाश डालना है कि तंबाकू मौखिक स्वास्थ्य को कैसे प्रभावित करता है, इस बात पर जोर देते हुए कि तंबाकू छोड़ने या उससे बचने से किसी के जीवन की गुणवत्ता में भारी सुधार क्यों हो सकता है।

Image
Image
Image
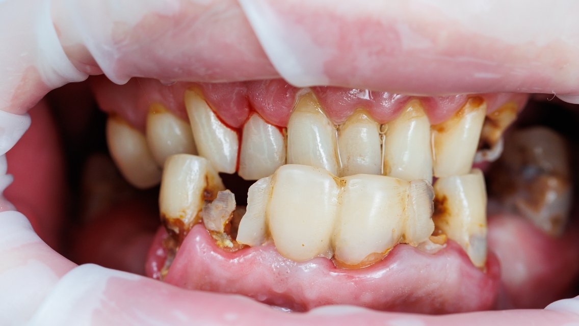
तंबाकू कैसे दांतों में दाग और मलिनकिरण का कारण बनता है
Image

तम्बाकू के उपयोग से ध्यान देने योग्य दाग और मलिनकिरण होते हैं जिन्हें हटाने में कई भारतीय उपयोगकर्ताओं को मुश्किल होती है। तम्बाकू उत्पादों में मौजूद टार और निकोटीन दांतों के तामचीनी से चिपके रहते हैं, जिससे समय के साथ पीला या भूरा रंग आ जाता है। यह धुंधला करने की प्रक्रिया बहुत जिद्दी हो सकती है, जिसके लिए अक्सर पेशेवर सफाई या सफेदी उपचार की आवश्यकता होती है। सौंदर्य संबंधी चिंताओं के अलावा, ये दाग दांतों की संरचना के भीतर गहरी क्षति का भी संकेत देते हैं। समय के साथ, लगातार दाग सामाजिक बातचीत के दौरान आत्मविश्वास को कम कर सकता है और व्यक्तिगत सौंदर्य मानकों को प्रभावित कर सकता है। इन दृश्य संकेतों को जल्दी पहचानना व्यक्तियों को दंत चिकित्सा देखभाल लेने या तंबाकू को पूरी तरह से छोड़ने पर विचार करने के लिए प्रेरित कर सकता है।

  • तंबाकू उत्पादों से प्राप्त तार दांतों की सतहों के साथ जुड़ जाता है, जिसके परिणामस्वरूप जिद्दी दाग लग जाते हैं।
  • निकोटिन हवा के संपर्क में आने पर ऑक्सीकरण करता है, जिससे पीला-भूरा रंग बन जाता है।
  • नियमित रूप से ब्रश करने से तंबाकू के दाग पूरी तरह से नहीं हट सकते हैं; पेशेवर सफाई की आवश्यकता हो सकती है।
  • विकृत दांत अक्सर तंबाकू के उपयोग से होने वाले निरंतर नुकसान की याद दिलाने का काम करते हैं।
  • अच्छी मौखिक स्वच्छता बनाए रखना दाग को धीमा कर सकता है लेकिन अगर तंबाकू का सेवन जारी रहता है तो इसे पूरी तरह से रोक नहीं सकता है।
  • दाग के कारण सौंदर्य संबंधी गिरावट मौखिक स्वास्थ्य पर तंबाकू के विनाशकारी प्रभाव का सिर्फ एक पहलू है। दांतों के दौरे और बंद करने के प्रयासों के माध्यम से इस मुद्दे को जल्दी हल करने से दांतों के प्राकृतिक रंग को बनाए रखने और आत्मविश्वास को बढ़ावा देने में मदद मिल सकती है
तम्बाकू के उपयोग के कारण मसूड़ों के रोगों का विकास

मसूड़ों की बीमारियाँ भारत में तंबाकू के सेवन के सबसे आम परिणामों में से हैं, जिससे दर्दनाक और संभावित रूप से अपरिवर्तनीय क्षति होती है। तंबाकू मुंह में बैक्टीरिया के संक्रमण से लड़ने की प्रतिरक्षा प्रणाली की क्षमता को कमजोर कर देता है, जिससे मसूड़े सूजन और बीमारी के प्रति अधिक संवेदनशील हो जाते हैं। तंबाकू उपयोगकर्ताओं में गिंगिवाइटिस और पीरियडोंटाइटिस जैसी स्थितियां अधिक प्रचलित हो जाती हैं, जो अक्सर गंभीर लक्षण प्रकट होने तक किसी का ध्यान नहीं जाता है। ये बीमारियाँ मसूड़ों की मंदी, मसूड़ों से खून बहने, सांस की बदबू और दांतों के ढीले होने का कारण बनती हैं-ऐसी समस्याएं जो मौखिक कार्य और सौंदर्यशास्त्र को काफी खराब करती हैं। कुछ मामलों में, मसूड़ों की अनुपचारित बीमारी से दांतों का नुकसान हो सकता है और यहां तक कि हृदय संबंधी समस्याओं जैसी प्रणालीगत स्वास्थ्य समस्याएं भी हो सकती हैं। समय पर हस्तक्षेप के लिए संकेतों को जल्दी पहचानना आवश्यक है, विशेष रूप से क्योंकि कई भारतीय समुदायों में मसूड़ों के स्वास्थ्य के बारे में जागरूकता की कमी है।

  • तंबाकू मसूड़ों में रक्त के प्रवाह को कम करता है, उपचार प्रक्रियाओं को बाधित करता है।
  • यह बैक्टीरिया के विकास को बढ़ावा देता है जो मसूड़ों की रेखाओं के साथ पट्टिका संचय का कारण बनता है।
  • लक्षणों में ब्रशिंग या फ्लॉसिंग के दौरान लालिमा, सूजन, रक्तस्राव शामिल हैं।
  • उन्नत चरणों के परिणामस्वरूप मसूड़ों की मंदी और दांतों की गतिशीलता हो सकती है।
  • उपचार में पेशेवर सफाई और बेहतर वसूली परिणामों के लिए तंबाकू छोड़ना शामिल है।
  • यह समझकर कि तंबाकू मसूड़ों के रोग के विकास को कैसे तेज करता है, व्यक्ति नियमित दंत जांच और समाप्ति समर्थन के माध्यम से स्वस्थ मसूड़ों को बनाए रखने की दिशा में सक्रिय कदम उठा सकते हैं।
मुँह का कैंसरः तंबाकू से जुड़ा सबसे गंभीर जोखिम

तंबाकू के उपयोग से जुड़े सबसे गंभीर खतरों में से एक मुंह के कैंसर के विकास का बढ़ता खतरा है-एक चिंता विशेष रूप से भारतीय आबादी के लिए प्रासंगिक है जहां अतिरिक्त तंबाकू के साथ पान चबाना आम है। मौखिक कैंसर आमतौर पर तंबाकू उत्पादों में पाए जाने वाले कार्सिनोजेनिक पदार्थों के लंबे समय तक संपर्क में रहने के बाद होंठ, जीभ, गाल या गले के क्षेत्रों में विकसित होता है। लगातार घाव, निगलने में कठिनाई, सुन्नता, या अस्पष्टीकृत रक्तस्राव जैसे लक्षणों को कभी भी नजरअंदाज नहीं किया जाना चाहिए-वे गंभीर अंतर्निहित मुद्दों का संकेत दे सकते हैं। मुँह के कैंसर का पूर्वानुमान जल्दी पता लगाने पर बहुत अधिक निर्भर करता है; दुर्भाग्य से, जागरूकता की कमी या देरी से चिकित्सा परामर्श के कारण कई मामलों का निदान उन्नत चरणों में किया जाता है। तम्बाकू छोड़ने से इस जोखिम में काफी कमी आती है और कैंसर होने पर सफल उपचार की संभावना बढ़ जाती है।

  • तंबाकू में कार्सिनोजेन सीधे मुंह के ऊतकों के भीतर डीएनए कोशिकाओं को नुकसान पहुंचाते हैं।
  • गुटका और खैनी जैसे चबाने के रूप स्थानीय जोखिम को बढ़ाते हैं।
  • प्रारंभिक संकेतों में सफेद धब्बे (ल्यूकोप्लाकिया) या लाल घाव (एरिथ्रोप्लाकिया) शामिल हैं।
  • असामान्यताओं का जल्दी पता लगाने के लिए नियमित रूप से दांतों की जांच करना महत्वपूर्ण है।
  • सभी प्रकार के धुआं रहित या धूम्रपान किए गए तंबाकू से बचने से कैंसर का खतरा काफी कम हो जाता है।
  • तंबाकू के उपयोग और मुंह के कैंसर के बीच के संबंध को समझना इस बात को रेखांकित करता है कि दीर्घकालिक स्वास्थ्य सुरक्षा के लिए समाप्ति के माध्यम से रोकथाम क्यों महत्वपूर्ण है।

Understanding that these interventions are meant for preservation can help alleviate fears about long-term harm.

तंबाकू कैसे सांस की दुर्गंध और मुँह की बदबू में योगदान देता है

लगातार सांस की बदबू भारतीय धूम्रपान करने वालों और धुआं रहित तंबाकू उपयोगकर्ताओं के बीच समान रूप से एक आम शिकायत है-एक अक्सर अनदेखी परिणाम जो व्यक्तिगत संबंधों को गहराई से प्रभावित करता है। तम्बाकू में ऐसे यौगिक होते हैं जो उपयोग के तुरंत बाद और समय के साथ दुर्गंध पैदा करते हैं क्योंकि बैक्टीरिया मुंह में अवशिष्ट रसायनों को तोड़ देते हैं। ये गंध क्षतिग्रस्त ऊतकों, खराब मौखिक स्वच्छता के कारण बनी चिपचिपी पट्टिका परतों द्वारा फंसे सड़े हुए खाद्य कणों से उत्पन्न होती हैं जो धूम्रपान या चबाने की आदतों से बढ़ जाती हैं। तम्बाकू के कारण होने वाली सांस की बदबू केवल एक परेशानी नहीं है; यह अंतर्निहित मौखिक संक्रमण या दंत पेशेवरों से ध्यान देने की आवश्यकता वाली सूजन का भी संकेत देता है। छोड़ने से स्वाभाविक रूप से आक्रामक गंध को खत्म करने में मदद मिलती है जबकि समग्र मुंह की ताजगी में सुधार होता है।

  • बैक्टीरिया तंबाकू उत्पादों द्वारा छोड़े गए रसायनों को खाते हैं।
  • विषाक्त पदार्थ ऊतकों में जलन पैदा करते हैं जिससे हैलिटोसिस (सांस की बदबू) होती है
  • चिपचिपी पट्टिका का निर्माण धूम्रपान करने वालों में गंध पैदा करने वाले बैक्टीरिया को अधिक आसानी से फंसाता है।
  • अच्छी मौखिक स्वच्छता बनाए रखने से गंध कम होती है लेकिन अगर तंबाकू जारी रहता है तो यह निरंतर प्रभावों का पूरी तरह से प्रतिकार नहीं करेगा।
  • कुल्ला के साथ मुंह को ताज़ा करने से अस्थायी राहत मिलती है लेकिन मूल कारणों का समाधान नहीं होता है।
  • तंबाकू के उपयोग को कम करने या रोकने से स्वस्थ मसूड़ों और दांतों को बढ़ावा देते हुए स्वाभाविक रूप से सांस को तरोताजा किया जा सकता है।
तंबाकू के उपयोग और दांतों के नुकसान के बीच का संबंध

कई आदतन भारतीय तंबाकू उपभोक्ताओं के लिए दांतों का नुकसान एक कठोर वास्तविकता बनी हुई है-जिसे अक्सर दीर्घकालिक उपयोग के अपरिहार्य परिणाम के रूप में देखा जाता है। तम्बाकू के विनाशकारी प्रभाव दांतों के आसपास हड्डी के ऊतक जैसी सहायक संरचनाओं को कमजोर करते हैं जबकि दांतों के भीतर क्षय प्रक्रियाओं को तेज करते हैं। नतीजतन, प्रभावित व्यक्ति बिना किसी त्वरित हस्तक्षेप के ढीले दांतों या पूर्ण दांतों के झड़ने का अनुभव कर सकते हैं। यह गिरावट बोलने की स्पष्टता, चबाने की क्षमता, पोषण सेवन और अंततः जीवन की गुणवत्ता को प्रभावित करती है। बहुत से लोग इस बात को कम आंकते हैं कि अनियंत्रित धूम्रपान या धुआं रहित आदतों के कारण उनकी मुस्कान कितनी जल्दी बिगड़ सकती है; हालाँकि, सबूत बताते हैं कि समाप्ति इस गिरावट को काफी धीमा कर देती है। जब प्राकृतिक दांतों को बचाया नहीं जा सकता है तो प्रत्यारोपण या डेन्चर जैसी पुनर्स्थापनात्मक प्रक्रियाएं आवश्यक हो जाती हैं-एक महंगा समाधान जिसे प्रारंभिक निवारक उपायों के माध्यम से टाला जा सकता था।

  • तंबाकू जड़ों के आसपास हड्डी के पुनर्जनन को बाधित करता है जिससे सहारा कमजोर हो जाता है।
  • प्लाक के निर्माण में वृद्धि होने से गुहाएँ बनती हैं जो दांतों के क्षय को तेज करती हैं।
  • हानिकारक रसायनों के निरंतर संपर्क में रहने पर मसूड़ों की बीमारी तेजी से बढ़ती है।
  • दांतों का नुकसान आत्मविश्वास और सामाजिक बातचीत को नकारात्मक रूप से प्रभावित करता है।
  • छोड़ना आगे बिगड़ने से रोकता है और शेष दांतों को लंबे समय तक संरक्षित रखता है।
  • धूम्रपान से दांतों के झड़ने में तेजी आने के बारे में जागरूकता कई भारतीयों को अपरिवर्तनीय क्षति होने से पहले स्वस्थ आदतों को अपनाने के लिए प्रेरित करती है।
तंबाकू के नुकसान से अपने मौखिक स्वास्थ्य की रक्षा के लिए युक्तियाँ

तंबाकू के हानिकारक प्रभावों से अपने मुंह को बचाने के लिए पेशेवर मार्गदर्शन के साथ सचेत प्रयास की आवश्यकता होती है। पहले चरण में छोड़ना शामिल है-स्थानीय रूप से या ऑनलाइन उपलब्ध परामर्श सेवाओं के माध्यम से समर्थन प्राप्त करना लत के चक्र को तोड़ने में महत्वपूर्ण अंतर लाता है। दूसरे में त्रुटिहीन मौखिक स्वच्छता प्रथाओं को बनाए रखना शामिल हैः फ्लोराइड टूथपेस्ट का उपयोग करके दिन में दो बार ब्रश करना; नियमित रूप से फ्लॉस करना; हर छह महीने में अपने दंत चिकित्सक के पास जाना; बैक्टीरिया के विकास को बढ़ावा देने वाले शर्करा युक्त खाद्य पदार्थों से बचें; हाइड्रेटेड रहें जो विषाक्त पदार्थों को दूर करने में मदद करता है; विटामिन सी और डी से भरपूर पौष्टिक खाद्य पदार्थ खाएं जो ऊतकों को मजबूत करते हैं; अपने दंत चिकित्सक द्वारा अनुशंसित रोगाणुरोधी मुंह धोने का उपयोग करने पर विचार करें; अपने मुंह के अंदर किसी भी असामान्य परिवर्तन जैसे कि लगातार अल्सर या पैच की निगरानी करें; यदि आवश्यक हो तो निकोटीन पैच या मसूड़ों जैसी नई समाप्ति सहायता के बारे में सूचित रहें; अंत में-अपने आप को ऐसे सहायक दोस्तों से घेरें जो स्वस्थ विकल्पों को प्रोत्साहित करते हैं।

  • विशेष रूप से लत के मुद्दों को लक्षित करने वाले परामर्श कार्यक्रमों के माध्यम से पेशेवर सहायता लें।
  • दिन में दो बार फ्लोराइड टूथपेस्ट से ब्रश करने सहित मौखिक स्वच्छता की सख्त दिनचर्या का पालन करें।
  • समस्याओं का जल्द पता लगाने के लिए नियमित दंत जांच का समय निर्धारित करें।
  • ऊतकों की मरम्मत में सहायता करने वाले फलों और सब्जियों से भरपूर संतुलित आहार को शामिल करें।
  • अतिरिक्त सुरक्षा के लिए दंत विशेषज्ञों द्वारा अनुशंसित अनुमोदित मुँह धोने का उपयोग करें।
  • आज सक्रिय कदम उठाना यह सुनिश्चित करता है कि आप लंबे समय तक तंबाकू के उपयोग के कारण होने वाले विनाशकारी प्रभावों को कम करते हुए कल अपनी मुस्कान की रक्षा करें।
जागरूकता के साथ बेहतर भविष्य की शुरुआत होती है

मौखिक स्वास्थ्य पर तंबाकू के प्रभाव गहरे हैं लेकिन काफी हद तक रोके जा सकते हैं यदि भारत की विविध आबादी के अनुरूप शिक्षा और व्यवहार परिवर्तन पहलों के माध्यम से जल्दी से संबोधित किया जाए। दागदार दांतों से लेकर जानलेवा कैंसर तक-इन जोखिमों को समझना व्यक्तियों को अपनी आदतों के बारे में सूचित निर्णय लेने के लिए सशक्त बनाता है। धूम्रपान छोड़ने से न केवल उपस्थिति बढ़ती है, बल्कि तंबाकू के सेवन से सीधे जुड़ी खराब मौखिक स्वास्थ्य स्थितियों से जुड़े दर्द, असुविधाओं, अक्षमताओं को रोककर समग्र कल्याण को भी बढ़ावा मिलता है। सक्रिय समाप्ति प्रयासों के साथ नियमित दंत चिकित्सा देखभाल में निवेश करने से पीढ़ियों में स्वस्थ मुस्कान की नींव बनती है-और अंततः एक स्वस्थ भारत के निर्माण में योगदान देता है जहां हर कोई धूम्रपान या च्युइंग गुटका जैसी लत की आदतों के कारण होने वाली रोकथाम योग्य बीमारियों से मुक्त आत्मविश्वास से भरी मुस्कान का आनंद लेता है।

3 Comments

Leave A Comment

Comment Illustration